Forrest’s Story
A New Smile and a Happier Life for this StarBrite Patient
Very often, a patient comes to us after they have seen one, two or even more other dentists. It could be that they come to Dr. Seifi because they talked to one of her patients and learned how thorough she is and how much that patient loved her result.
What Dr. Seifi loves most about this kind of patient is the way she can often make their wishes come true by listening carefully and using her superior knowledge of dentistry to help them repair their dental health and the appearance of their smile.
A Tearful Beginning
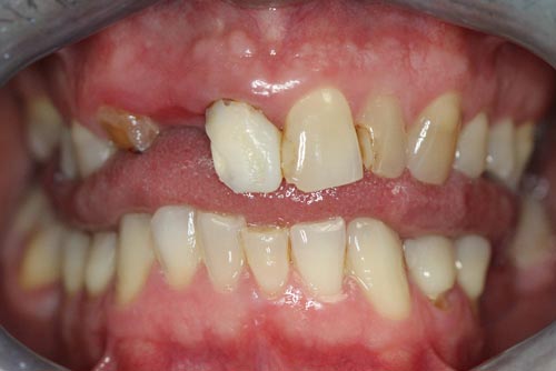
Forrest had been told that he should have two teeth near the front of his mouth pulled and replaced by a denture. He was looking for a dentist who could save these teeth.
As Dr. Seifi examined his teeth and heard his story, Forrest was in tears because of his constant tooth pain and the way his mismatched and broken teeth impaired his enjoyment of family life and work.
After a careful study of his whole mouth, Dr. Seifi found that Forrest had one missing tooth, one tooth broken off near the gum line, discolored cosmetic repairs and infected or decayed teeth. Most of his visible teeth were unsightly.
She spelled out the exact treatment plan that would save those two teeth and restore the rest of the mouth to the even, white smile Forrest really wanted. He was delighted to start treatment.
The Restoration Begins
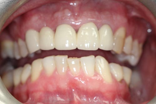
Dr. Seifi began by having a specialist in her office complete root canal therapy on the painful tooth. The broken tooth received a temporary crown and already, the smile looked and felt better.
The teeth with mismatched repairs were covered with veneers. A bridge filled the gap created by the missing tooth. Any decayed teeth were repaired with tooth-colored fillings to preserve the aesthetics of Forrest’s smile.
From Tears to Joy
With Dr. Seifi’s special artistry as a dentist, she was able to create harmony and beauty for Forrest’s smile. When her treatment plan was complete, Forrest not only had a completely functional set of teeth, he also had a beautiful smile that he loved to show off.
Far from being in tears as he was when he first arrived, Forrest was now happy to show off his smile at every opportunity and relieved that he could now focus on his work and his family.
Receive a Cosmetic Dentistry Consultation
To consult with Dr. Seifi about transforming your own smile, call (301) 770-1070.






