Robert’s Story
Transforming a Patient’s Smile—and Life—With Veneers
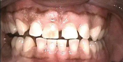
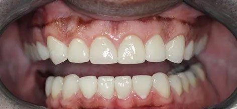
Robert loved spending time with his big family and it seemed that every holiday, they were called to line up for group photos. After many of these photo opportunities, his children began to notice that he never smiled. They encouraged him to smile for these photos memorializing the history of their family but he refused. His teeth, he told them, were too unattractive. He didn’t like ever revealing them for photographs.
It was his daughter who realized that all Robert had to do was ask Dr. Seifi to provide cosmetic care for his smile. The solution could be as simple as that.
It took Robert a little time to get used to this idea, but then he decided to take a look at what his path to a more attractive smile would be like. Once he learned how straightforward the process would be, he forged right ahead.






